Professional Teeth Whitening in Coseley

Professional Teeth Whitening

 

Welcome to Roseville Dental, where we offer teeth whitening treatments that will brighten your smile and boost your confidence.

Our experienced team of dental professionals is committed to providing you with safe and effective teeth whitening options, ensuring your journey to a whiter, more radiant smile is comfortable and transformative.

We use our teeth every day without fail, so a few stains here and there are to be expected.

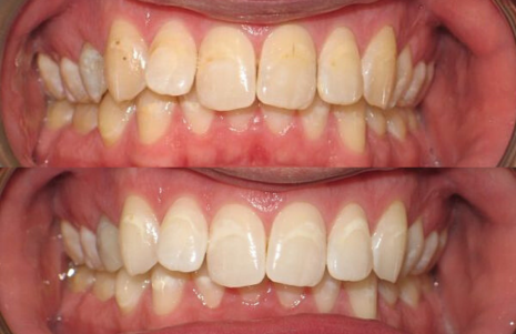
Teeth can discolour with function and time – even on the healthiest teeth. At Roseville Dental, we offer a range of minimally-invasive, at-home whitening treatments to improve the colour of your teeth and make them sparkle brightly again in a matter of weeks.

​Take-home whitening kits contain tailor-made dental trays and bleaching gels that you will wear during the day or whilst you sleep, over a few weeks, depending on your chosen treatment.

First, we’ll scan your mouth or take impressions of your teeth and create bespoke bleaching trays– you will fill these with whitening gel and wear them each night for approximately 4 weeks. Within just a few weeks you’ll have beautiful, white teeth!

Your smile is a reflection of your personality, and we’re here to help you make it shine. Book your teeth whitening consultation today at Roseville Dental, and embark on a journey to a brighter, more confident smile. Your comfort and exceptional care are our top priorities, and we’re dedicated to helping you smile with radiance and pride.

We’re ready to welcome you

JOIN OUR 5-STAR RATED DENTAL PRACTICE TODAY

We are currently accepting new patients at Roseville Dental! Whether you need routine dental care or cosmetic treatment, our team of experienced professionals is here to provide you with personalised, top-quality care that will help you achieve a healthy, beautiful smile.

Frequently Asked Questions

How does teeth whitening work?

Teeth whitening at Roseville Dental uses safe bleaching agents to break down stains on the tooth surface and within the enamel. These agents penetrate the enamel to remove discolouration caused by various factors. The process lightens the shade of your teeth without harming the structure, resulting in a cleaner, fresher appearance.

What causes tooth discolouration?

Tooth discolouration can occur from everyday habits like drinking coffee, tea, or red wine, smoking, and certain medications. Age-related changes and genetics also influence tooth colour. At Roseville Dental, we assess the cause of discolouration to recommend the most suitable whitening treatment.

Is teeth whitening safe for my teeth?

Yes, teeth whitening performed under the care of Roseville Dental is safe when done properly. Our dental professionals use tested products and monitor the process to minimise sensitivity and protect enamel health. We ensure the treatment is appropriate for your dental condition before starting.

Category:
Teeth Whitening

Teeth Whitening

Teeth Whitening

Periodontal Therapy, Extractions, Root Canal Therapy, Teeth Whitening, Veneers, Implant Retained Bridge

Teeth Whitening

Teeth Whitening

Teeth Whitening

Make an Enquiry Today

Fill in your details and our team will be in touch as soon as possible.

An enjoyable experience, everytime.

Exceptional care from Jas, Marcia and the entire time over the last few months. They have made my mom Gillian feel so well cared for, welcome and comfortable. The work they have done is nothing short … Read More

Sarah-Louise Hickman

I visited Roseville Dentist today for a deep clean with Dr Neethu and Chelsey. From the moment I arrived, both were friendly and made me feel at ease throughout my appointment. The treatment was carri… Read More

Matt Lea

Went in for emergency appointment and ended up signing up to the membership program. Dr Amrik diagnosed the issue clearly and professionally and explained every step of the (painless) process, checkin… Read More

Spencer Barley

After the journey I’ve been on all I can say is thank you. Very well looked after and supported by Harry. Ashley has been an amazing support, very friendly. Mina and the reception staff understandin… Read More

jordan smith

Nobody looks forward to or enjoys dental treatment, but the team here makes the whole experience as pleasant and comfortable as it can reasonably be. A special thanks to Dr Eleanor Bass who is, in a w… Read More

Mark Furnival