Welcome to Roseville Dental, where we are proud to offer SureSmile Aligners, a cutting-edge orthodontic solution designed to transform your smile with predictability, precision, efficiency, and comfort. Our dedicated team of orthodontic experts are here to guide you through a journey to a straighter, more confident smile.
Advanced Technology: SureSmile Aligners are crafted with the latest 3D imaging and robotics technology for unparalleled accuracy in teeth straightening.
Personalised Precision: Each set of SureSmile Aligners is custom-crafted to fit your unique dental anatomy, ensuring a perfect fit and superior results.
State-of-the-Art Facility: Our dental office is equipped with the latest SureSmile technology to ensure your orthodontic journey is seamless and comfortable.
Patient-Centred Care: We believe in a personalised approach, taking the time to understand your smile goals and lifestyle to create a treatment plan tailored specifically to you.
Beautiful Results: SureSmile Aligners not only straighten your teeth but also enhance the beauty of your smile, boosting your confidence throughout your treatment.
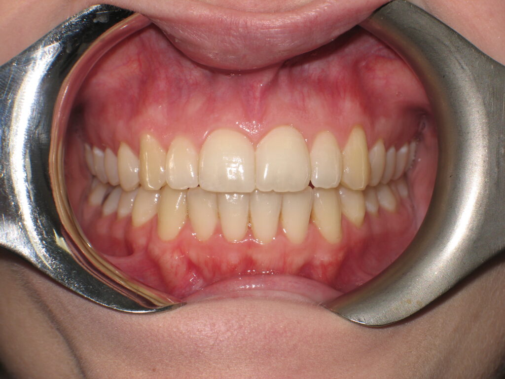
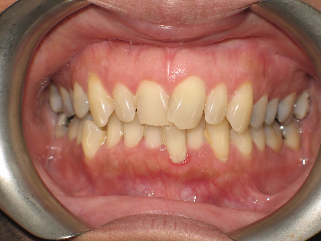
” I started my sure smile journey in January 2023, after years of feeling displeased by the appearance of my teeth. I can honestly say that as of December 2023 and almost completing the journey (I’m yet to start my teeth whitening) I am 100% pleased with the outcome and wished I’d started the treatment a lot sooner.
The process itself has mostly been comfortable, apart from the first day or so that a new aligner is used. However, it is far from the tension felt with traditional wired braces. The process has been pretty straightforward and easy to maintain. I had 4 bonded ‘attachments’ to my natural teeth, to ensure the straightening of certain teeth, which were a lot less noticeable than attachments to all teeth when using wired braces. I couldn’t recommend sure smile enough as a more discreet way to traditional braces.
Many thanks to Hari and his team for their amazing hard work and ensuring the process has been smooth sailing.”




Consultation: Your SureSmile journey begins with a comprehensive consultation, where we assess your smile and discuss your goals.
Customised Treatment Plan: We create a customised treatment plan that outlines the precise steps to achieve your desired smile.
Custom-made Aligners: You’ll receive a series of SureSmile Aligners, meticulously designed to guide your teeth into their ideal positions.
Regular Progress Check-ins: We schedule regular check-up appointments to monitor your progress and ensure your treatment is on track.
Achieve Your Dream Smile: Once your treatment is complete, you’ll enjoy a beautifully aligned smile that exceeds your expectations.
Your smile is your signature, and we are committed to helping you make it a masterpiece. Book your SureSmile Aligners consultation today at Roseville Dental, and embark on a journey to a straighter, more radiant smile. Your confidence and comfort are our top priorities, and we’re here to make sure you love your new smile.
We are currently accepting new patients at Roseville Dental! Whether you need routine dental care or cosmetic treatment, our team of experienced professionals is here to provide you with personalised, top-quality care that will help you achieve a healthy, beautiful smile.
SureSmile is a modern clear aligner system designed to straighten teeth using advanced digital scanning and custom-made trays. These transparent clear aligners gradually move teeth into their ideal positions without the need for fixed brackets or wires.
SureSmile clear aligners offer a discreet, comfortable alternative to traditional braces, using precise digital planning to deliver predictable and controlled tooth movement.
The results of teeth whitening can vary depending on individual habits such as diet and oral care. Typically, whitening effects at Roseville Dental can last from several months up to a couple of years. To help maintain your results, itโs recommended to avoid foods and drinks that cause staining and to follow a good oral hygiene routine. Regular dental check-ups at Roseville Dental also support lasting outcomes.
Most people are suitable candidates for teeth whitening at Roseville Dental, but certain conditions like tooth decay, gum disease, or sensitive teeth may require treatment first. Whitening is not recommended for children under 16 or pregnant women. During your consultation, our team will assess your oral health and discuss if whitening is appropriate for you.
When performed correctly by professionals at Roseville Dental, teeth whitening is safe and should not harm your enamel. Our experienced team uses products and techniques designed to minimise sensitivity and protect your teeth. Overuse or improper use of whitening products at home can sometimes cause issues, so itโs best to seek advice from Roseville Dental before starting any treatment.
Yes. SureSmile clear aligners are custom-made to fit your teeth precisely, with smooth edges designed to reduce irritation.
Compared to traditional braces, clear aligners typically cause less discomfort because they apply gentle, gradual pressure rather than tightening wires. They are also removable, allowing you to eat, brush, and floss normally throughout your treatment.
Typically, aligners are changed every one to two weeks, depending on your personalised treatment plan. Each new set continues to guide teeth gradually into the desired position, and your orthodontist will provide instructions to ensure optimal progress and results.
Absolutely. SureSmile aligners are removable, allowing you to brush and floss your teeth as usual. This supports better oral hygiene compared with traditional braces, reducing the risk of plaque buildup, cavities, and gum problems during
Yes. SureSmile aligners are designed for both adults and teenagers. The custom-fit, removable aligners provide effective tooth movement while remaining discreet, making them suitable for patients of varying ages who seek orthodontic treatment with minimal lifestyle disruption.
The length of treatment with SureSmile Clear Aligners varies depending on your individual dental needs and the complexity of alignment required.
Many patients complete their clear aligner treatment within approximately 6 to 18 months, although this can differ from case to case. During your consultation at Roseville Dental in Coseley, we will assess your smile and provide a personalised treatment timeline tailored specifically to you.
Fill in your details and our team will be in touch as soon as possible.
Exceptional care from Jas, Marcia and the entire time over the last few months. They have made my mom Gillian feel so well cared for, welcome and comfortable. The work they have done is nothing short … Read More
I visited Roseville Dentist today for a deep clean with Dr Neethu and Chelsey. From the moment I arrived, both were friendly and made me feel at ease throughout my appointment. The treatment was carri… Read More
Went in for emergency appointment and ended up signing up to the membership program. Dr Amrik diagnosed the issue clearly and professionally and explained every step of the (painless) process, checkin… Read More
After the journey Iโve been on all I can say is thank you. Very well looked after and supported by Harry. Ashley has been an amazing support, very friendly. Mina and the reception staff understandin… Read More
Nobody looks forward to or enjoys dental treatment, but the team here makes the whole experience as pleasant and comfortable as it can reasonably be. A special thanks to Dr Eleanor Bass who is, in a w… Read More