Coseley Dental Clinic Smile Results

Real Patients. Real Smiles. Real Results.

At Roseville Smiles, nothing makes us prouder than seeing the transformation in our patients’ smiles and their confidence. From subtle improvements to dramatic makeovers, every treatment is tailored to the individual, with results that speak for themselves.

We combine advanced dental techniques with a gentle, supportive approach to achieve smiles that are not only beautiful, but healthy and long-lasting. Browse our real patient stories below to see what’s possible.

Category:

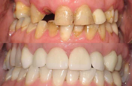
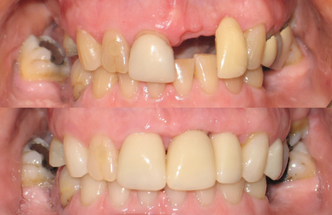
Porcelain Veneers

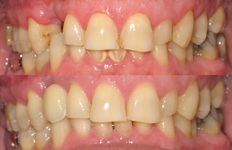
Emax Veneers

Composite Veneers

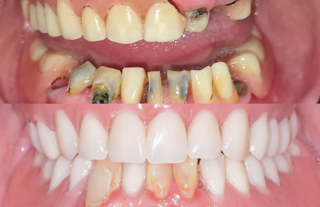
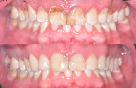
Periodontal Therapy, Extractions, Root Canal Therapy, Teeth Whitening, Veneers, Implant Retained Bridge

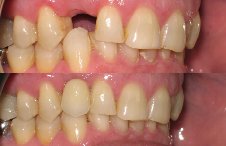
Composite Fillings

Composite Fillings

Composite Fillings

Composite Fillings

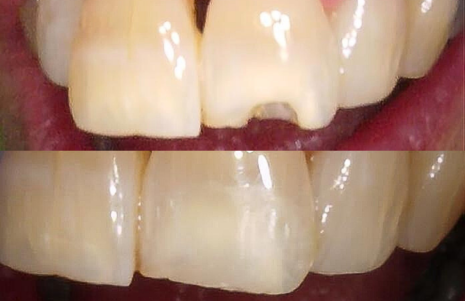
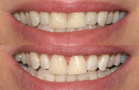
Composite Bonding

Composite Bonding

Make an Enquiry Today

Fill in your details and our team will be in touch as soon as possible.

An enjoyable experience, everytime.

As a very nervous patient and not having been to a dentist for probably 20 years, I was dreading calling the dentist, but Meena was absolutely amazing from the very first second. She was so kind, calm… Read More

Joanne

Exceptional care from Jas, Marcia and the entire time over the last few months. They have made my mom Gillian feel so well cared for, welcome and comfortable. The work they have done is nothing short … Read More

Sarah-Louise Hickman

I visited Roseville Dentist today for a deep clean with Dr Neethu and Chelsey. From the moment I arrived, both were friendly and made me feel at ease throughout my appointment. The treatment was carri… Read More

Matt Lea

Went in for emergency appointment and ended up signing up to the membership program. Dr Amrik diagnosed the issue clearly and professionally and explained every step of the (painless) process, checkin… Read More

Spencer Barley

After the journey I’ve been on all I can say is thank you. Very well looked after and supported by Harry. Ashley has been an amazing support, very friendly. Mina and the reception staff understandin… Read More

jordan smith