• Home
  • Blogs
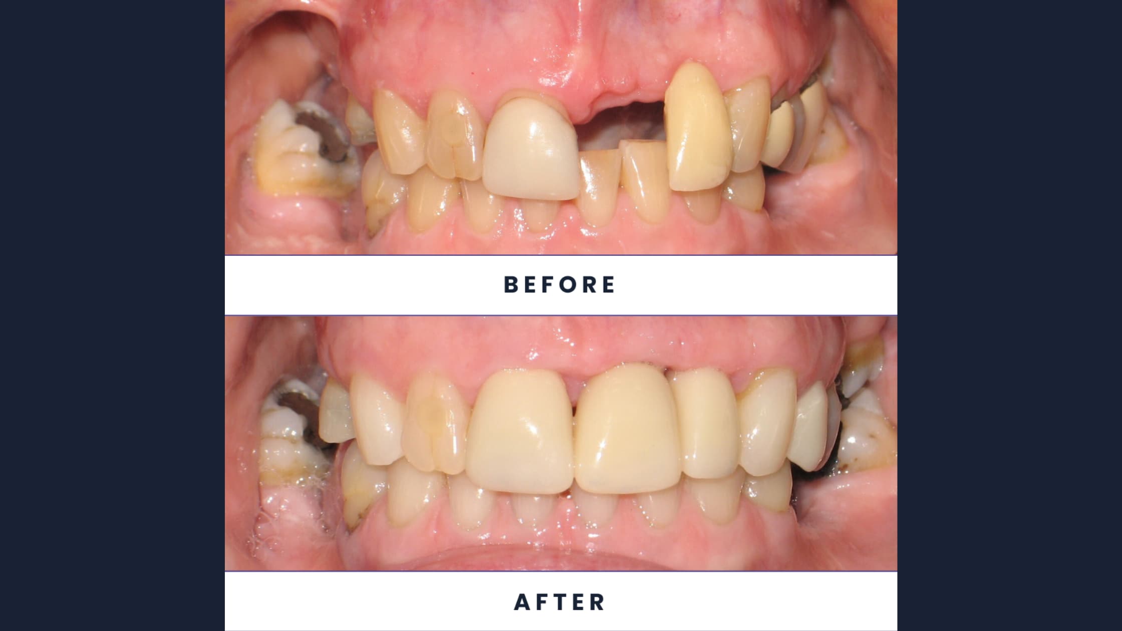
  • A Two-Year Journey to a Healthy Smile: Kat’s Transformation

At Roseville Dental, we believe that a truly life-changing smile isn’t just about aesthetics—it’s about health, function, and a collaborative journey between the patient and clinician. We are incredibly proud to share the final result of a major case recently completed by Dr. Harinder Amrik (Dr Hari) for our patient, Kat.

The Challenge: Beyond a “Quick Fix”

Kat’s case was complex and required a dedicated, long-term approach. While “quick fix” treatments can be tempting, Dr. Hari emphasises that these often lead to restorations failing or nerve damage down the line.

To ensure Kat had a foundation that would last, her transformation took two years from start to finish. This period included essential healing time, the use of prototype bridges to test the fit and function.

The Transformation Strategy

Dr Hari’s philosophy is rooted in the belief that “there is nothing better than your own teeth.” For Kat, this meant moving away from the idea of a “quick fix” and instead focusing on a comprehensive, phased approach.

The first priority was biological stability. Before any cosmetic work could begin, Dr. Hari worked to eliminate infection and disease, ensuring that every restoration would sit on a rock-solid foundation. This “health-first” phase is what allowed the final result to be so successful; by treating the mouth as a single, functional unit, we ensured that the new smile wouldn’t just look great on day one, but would remain functional and comfortable for decades to come.

Throughout the two-year process—which included navigating healing times and even a recovery period for a broken hip—Dr Hari used prototype bridges. These served as a “test drive” for Kat’s new smile, allowing her to evaluate the fit, feel, and look before the final, permanent restorations were placed. This collaborative journey ensured there were no surprises—only a result that Kat felt completely confident in.

Kat’s comprehensive treatment included:

  • Periodontal Therapy: To ensure her gums were healthy and provide a stable foundation.
  • Extractions & Root Canal Therapy: To remove problematic teeth and save others from further decay.
  • Teeth Whitening: A safe, non-damaging way to brighten her natural smile.
  • Veneers: To enhance the shape and appearance of individual teeth.
  • Implant-Retained Bridge: A fixed, individual-unit restoration that shares the biting load like natural teeth.

Why Implants Were the Right Choice

For Kat, dental implants provided the next best thing to her natural teeth. Unlike removable dentures, her implant-retained bridge is fixed in place, offering a high success rate and a long-term solution that functions as part of her mouth as a full unit.

The Result: A Patient Who Feels Amazing

For Dr Hari, the most rewarding part of this two-year journey is seeing the impact on the patient. Kat has been so pleased with her results that she has shared her story to help other nervous patients understand the process.

“I love it when you’ve come in… with a problem and we’ve been able to send you out feeling amazing about yourself.” — Dr Hari

Start Your Own Journey

If you have been struggling with dental issues or are looking for a long-term solution rather than a quick fix, we invite you to come and talk to us. Our team focuses on treating the person, not just the teeth, ensuring you feel heard and supported every step of the way.

  • Email: staff@rosevillesmiles.co.uk

Phone: +44 1902 678202

Make an Enquiry Today

Fill in your details and our team will be in touch momentarily.

An enjoyable experience, everytime.

As a very nervous patient and not having been to a dentist for probably 20 years, I was dreading calling the dentist, but Meena was absolutely amazing from the very first second. She was so kind, calm... Read More

Joanne

Exceptional care from Jas, Marcia and the entire time over the last few months. They have made my mom Gillian feel so well cared for, welcome and comfortable. The work they have done is nothing short ... Read More

Sarah-Louise Hickman

I visited Roseville Dentist today for a deep clean with Dr Neethu and Chelsey. From the moment I arrived, both were friendly and made me feel at ease throughout my appointment. The treatment was carri... Read More

Matt Lea

Went in for emergency appointment and ended up signing up to the membership program. Dr Amrik diagnosed the issue clearly and professionally and explained every step of the (painless) process, checkin... Read More

Spencer Barley

After the journey I’ve been on all I can say is thank you. Very well looked after and supported by Harry. Ashley has been an amazing support, very friendly. Mina and the reception staff understandin... Read More

jordan smith